![]() |
| ¹«Áö¿Ü¹ÝÁõ. /»çÁøÁ¦°ø=¿¬¼¼°Ç¿ìº´¿ø |
[½Ã»çÄÚ¸®¾ÆÀú³Î=Á¤Á¾¹Î ¼±ÀÓ±âÀÚ] ¹«Áö¿Ü¹ÝÁõÀ¸·Î ¿À·¡ °í»ýÇß´ø ¹Ú¸ð ¾¾(48¼¼, ¿©)´Â ÀÚ½ÅÀÇ ÀڳุÅÀº °°Àº °íÅëÀ» °ÞÁö ¾Ê°Ô Çϱâ À§ÇØ °¢º°È÷ ½Å°æÀ» ½è´Ù.
µþ¿¡°Ô ±ÁÀÌ ³ôÀº ½Å¹ßÀº °¡±ÞÀû »çÁÖÁö ¾Ê¾Ò°í ¶Ç ¹Ù´ÚÀÌ ºÒÆíÇϰųª ¹ßº¼ÀÌ Á¼Àº ½Å¹ßµéµµ ÃÖ´ëÇÑ ÇÇÇß´Ù.
ÇÏÁö¸¸ ¾ö¸¶ÀÇ ³ë·ÂÀº ¼öÆ÷·Î µ¹¾Æ°¬´Ù.
¹Ú ¾¾ÀÇ µþ ±è¸ð ¾¾(17¼¼, ¿©)´Â ÃÖ±Ù ¾öÁö¹ß°¡¶ôÀÌ ¸¹ÀÌ º¯ÇüµÇ¸é¼ ÅëÁõÀ» È£¼ÒÇß°í º´¿øÀ» ã¾Ò´Ù.
ÀÇ»ç´Â µþ¿¡°Ô ¾ö¸¶¿Í °°Àº º´¸íÀ» Áø´ÜÇß´Ù. ¹«Áö¿Ü¹ÝÁõÀ̾ú´Ù.
¹«Áö¿Ü¹ÝÁõÀº º¸Åë ÈÄõÀû ÁúȯÀ¸·Î ¾Ë·ÁÁ® ÀÖ´Ù.
½ÇÁ¦·Î ½Å¹ßÀ» ½ÅÁö ¾Ê´Â »ç¶÷µé Áß¿¡¼ ¹«Áö¿Ü¹ÝÁõÀÌ ³ªÅ¸³¯ È®·üÀº 2%¹Û¿¡ µÇÁö ¾Ê´Â´Ù.
±×·¯³ª ½Å¹ßÀ» ½Å´Â »ç¶÷µéÀº ±×º¸´Ù 16¹è³ª ³ôÀº È®·ü·Î ¹«Áö¿Ü¹ÝÁõÀ» ¾ÎÀ» ¼ö ÀÖ´Ù.
¿¬¼¼°Ç¿ìº´¿ø ¹ÚÀÇÇö º´¿øÀå(Á¤Çü¿Ü°ú Á·ºÎÀü¹®ÀÇ)Àº ±× ÀÌÀ¯¿¡ ´ëÇØ “º¼ÀÌ Á¼Àº ½Å¹ßÀ̳ª ±ÁÀÌ ³ôÀº ½Å¹ß ¶§¹®¿¡ ¾öÁö ¹ß°¡¶ô ¿ÜÃøÀÌ Áö¼ÓÀûÀ¸·Î ¾Ð¹ÚÀ» ¹ÞÀ¸¸é¼ ÅëÁõÀ» ÀÏÀ¸Å°°Å³ª ½Å°æÀ» ÀÚ±Ø ¹ÞÀ» ¼ö Àִµ¥ ÀÌ°Ô Àå±âÈ µÇ¸é ¹«Áö¿Ü¹ÝÁõÀÌ µÈ´Ù”°í ¼³¸íÇß´Ù.
![]() |
| ¿¬¼¼°Ç¿ìº´¿ø ¹ÚÀÇÇö º´¿øÀå(Á¤Çü¿Ü°ú Á·ºÎÀü¹®ÀÇ) |
¹«Áö¿Ü¹ÝÁõÀº º¸Åë ³ªÀ̰¡ ÀÖ´Â »ç¶÷µé¿¡°Ô ÀÚÁÖ ¹ß°ßµÈ´Ù.
¾î¸± ¶§´Â ½Å¹ßÀ» ½ÅÀº ´©Àû½Ã°£ÀÌ ¾î¸¥µéº¸´Ù Àû±âµµ ÇÏ°í ¶Ç ¹ßÀÌ ºÒÆíÇÑ ½Å¹ßÀ» ´ú ½Å±âµµ Çϱ⠶§¹®ÀÌ´Ù.
Á¾Á¾ ÇüÁ¦ÀڸŰ¡ ½Å´ø ½Å¹ßÀ» ¹°·Á¹Þ¾Æ ½Å´Â ÁýÀÌ ÀÖ´Ù.
±×·¯³ª ÀÌ´Â °ú°ÅÀÇ À̾߱⿡ °¡±õ´Ù. Áö±ÝÀº ÇüÁ¦, ÀڸŰ¡ ¸¹Áö ¾ÊÀº µ¥´Ù°¡ º¸ÅëÀº Àڱ⠹߿¡ ¸Â´Â ½Å¹ßÀ» »çÁֱ⠶§¹®ÀÌ´Ù.
±×·³¿¡µµ ºñ±³Àû ¾î¸° ³ªÀÌ¿¡ ¹«Áö¿Ü¹ÝÁõÀ» °Þ´Â ÄÉÀ̽º°¡ º¸ÀÌ´Â ÀÌÀ¯´Â ¹»±î?
¹Ú º´¿øÀåÀº “¹«Áö¿Ü¹ÝÁõÀº À¯ÀüÀû ¿øÀÎ, Áï °¡Á··ÂÀÌ ÀÖ´Â °æ¿ì°¡ ¾à 58%~88%±îÁö º¸°íµÇ°í ÀÖÀ¸¸ç ÁÖ·Î ¸ð°è¸¦ ÅëÇØ ÀÌ·ç¾îÁø´Ù”°í ¼³¸íÇß´Ù.
Áï ¹«Áö¿Ü¹ÝÁõÀº ÈÄõÀû ȯ°æ¿¡ ÀÇÇØ ¹ßº´µÇ´Â °æ¿ì°¡ ¸¹Áö¸¸, ÀÌ °æ¿ì¿¡µµ ¿ø·¡ À¯ÀüÀû ¿øÀÎÀ» °¡Áö°í ÀÖ´Â »óÅ¿¡¼ ÈÄõÀû ¿µÇâÀ» ¹Þ¾Æ ´õ ¾ÇȵǴ °æ¿ì°¡ ¸¹´Ù´Â °ÍÀÌ´Ù.
¹Ý´ë·Î ½Å¹ß µîÀÇ ¿øÀÎÀÌ ¾ø´Â °æ¿ì¿¡µµ À¯ÀüÀû ¿øÀÎÀÌ ÀÖ´Ù¸é º°´Ù¸¥ ÀÌÀ¯ ¾øÀÌ ¹«Áö¿Ü¹ÝÁõÀÌ »ý±æ ¼ö ÀÖ´Ù´Â À̾߱â´Ù.
µû¶ó¼ ¾î¸° ³ªÀÌ¿¡ ¹ß»ýÇÏ´Â ¹«Áö¿Ü¹ÝÁõÀº À¯ÀüÀû ¿äÀο¡ ÀÇÇØ ¹ß»ýÇßÀ» °¡´É¼ºÀÌ ¸Å¿ì ³ô´Ù´Â À̾߱â´Ù.
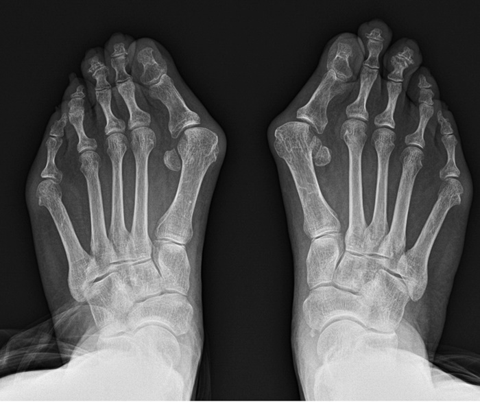
![]() |
| ¹«Áö¿Ü¹ÝÁõ ȯÀÚÀÇ X-Ray »çÁø. /»çÁøÁ¦°ø=¿¬¼¼°Ç¿ìº´¿ø |
½Å¹ßÀÇ ¾Ð¹Ú µîÀ¸·Î »ý±â´Â °ÍÀÌ ¾Æ´Ñ ¸¸Å, û¼Ò³â ¹«Áö¿Ü¹ÝÁõÀº ´õ¿í °¢º°È÷ ½Å°æÀ» ½á¾ß ÇÑ´Ù.
¹Ú º´¿øÀåÀº “¹Ì¼º³â ÀÚ³àµéÀÇ ¹«Áö¿Ü¹ÝÁõÀº ¼ºÀεéÀÇ ¹«Áö¿Ü¹ÝÁõ°ú´Â º´ÀÎ, Áõ»ó, ¿¹ÈÄ µîÀÌ ¸ðµÎ ´Ù¸£´Ù”¸é¼ “û¼Ò³âÀÇ °æ¿ì¿¡´Â ¹«ÀÛÁ¤ ¼ö¼úÀû Ä¡·á¸¦ ¹Þ±â º¸´Ù´Â º¸Á¸Àû Ä¡·á¿Í ´õºÒ¾î ¿¹¹æ¿¡ ÁÖ·ÂÇØ¾ß ÇÏ¸ç ¼ö¼úÀ» ÇÏ´õ¶óµµ ¹ßÀÇ ¼ºÀåÀÌ ¿Ï·áµÈ ÀÌÈÄ¿¡ ½ÃÇàÇØ¾ß ÇÑ´Ù”°í ¼³¸íÇß´Ù.
±×·¯¸é¼ ¹Ú º´¿øÀåÀº “À¯ÀüÀû ¿µÇâÀ¸·Î ¹«Áö¿Ü¹ÝÁõÀÌ º¸ÀÌ´õ¶óµµ ¾î¸± ¶§´Â º¸Åë Æí¾ÈÇÑ ½Å¹ßÀ» ½Å±â ¶§¹®¿¡ ÅëÁõÀÌ °ÇØÁö°Å³ª º¯ÇüÀÌ Ä¿Áú È®·üÀº ³·´Ù"¸é¼ "ÇÏÁö¸¸ Á¡Â÷ ±¸µÎ³ª Èú °°Àº ½Å¹ßÀ» ½Å¾î¾ß ÇÏ´Â »óȲÀÌ ¿À¸é °©ÀÚ±â Á·ºÎÀÇ »óŰ¡ ±Þ°ÝÈ÷ ¾Ç鵃 ¼ö ÀÖ´Ù”°í ¼³¸íÇß´Ù.
¹Ú ¿øÀåÀº °Ô´Ù°¡ “À¯ÀüÀû ¿øÀÎÀ¸·Î ¹«Áö¿Ü¹ÝÁõÀÌ ³ªÅ¸³ª´Â °æ¿ì¿¡µµ ²À û¼Ò³â±â¿¡ ³ªÅ¸³ª´Â °ÍÀº ¾Æ´Ï¶ó ³ªÀ̰¡ ¸Ô¾î¼ ³ªÅ¸³¯ ¼öµµ ÀÖ´Ù"¸ç "ºÎ¸ð°¡ ¹«Áö¿Ü¹ÝÁõÀ» ¾Î¾Ò´ø °æ¿ì¶ó¸é ½Å¹ßµé Àß °ñ¶ó ½Å´Â µî ÈÄõÀû ¿äÀÎÀ» Á¦°ÅÇØ¾ß ÇÑ´Ù”°í ´çºÎÇß´Ù.
Á¤Á¾¹Î ±âÀÚ korea21ci@hanmail.net
<ÀúÀÛ±ÇÀÚ © e½Ã»çÄÚ¸®¾ÆÀú³Î, ¹«´Ü ÀüÀç ¹× Àç¹èÆ÷ ±ÝÁö>




